手術当日に
固定式の仮歯を装着できます
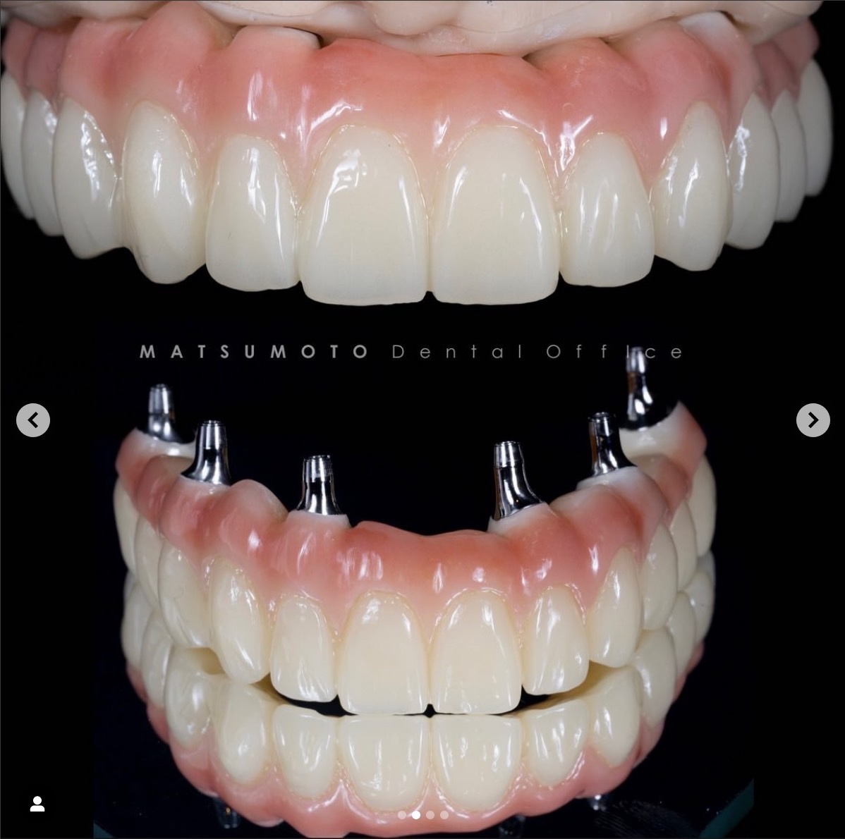
オールオンフォー(All-on-4)治療法では、手術当日に固定式の仮歯を装着することができます。この方法では、頬骨に特殊な長めのインプラントを使用し、しっかりと固定するため、手術当日に見た目と機能の両方を回復することが可能です。

当院では、オールオンフォー(All-on-4)インプラント治療を提供しています。
この治療法は、全ての歯を失った患者様に最適で、
手術当日に仮義歯を固定し、即日に噛む力を回復することができます。
従来のインプラント治療に比べて、治療期間が短く、
経済的で審美性が高く、外科的負担も軽減されます。
下顎には4本、上顎には4~6本のインプラントを使用し、
即日に機能と美しさを取り戻すことが可能な画期的な治療法です。
患者様の負担を大幅に軽減した新しいインプラント治療を、ぜひ体験してみてください。
手術当日に仮の歯を装着するため、審美面・機能面の両方で大きなメリットがあります。柔らかいものであれば、その日から食事を楽しむことも可能です。
従来のインプラント治療では、片顎に12本以上のインプラントが必要で高額になりますが、オールオンフォー(All-on-4)なら片顎4本のインプラントで12本の歯を支えるため、費用を大幅に抑えることができます。
インプラントで義歯がしっかり固定されるため、自分の歯のように硬いものを噛むことができます。さらに、義歯が口の中でずれることがないため、発音もしやすくなります。
オールオンフォー(All-on-4)は自由診療となるため、ご負担いただく費用が高くなります。しかし、現金以外にもクレジットカードやデンタルローンを利用できるため、お支払い方法についてはお気軽にご相談ください。
口腔内の状態によっては、骨造成などの追加治療が必要となることがあり、術後に腫れや痛みを伴う場合があります。術後の痛みや腫れに対しては、適切な痛み止めを処方いたしますのでご安心ください。
オールオンフォー(All-on-4)は、噛み合わせの調整やバランスの調整など、高度な技術を必要とするため、治療を提供できるクリニックが限られています。当院では、経験豊富な専門医が対応いたしますので、安心して治療を受けていただけます。
オールオンフォー(All-on-4)の治療費の目安は、片顎で約330万円(税込)くらいです。
当院では信頼性の高いインプラントを使用し、手術後の保証も最長10年間提供しています。
保証には定期的なメインテナンスが必要です。
治療費は症状によって変わる場合がありますので、ご了承ください。


| 治療費用 | ¥2,200,000 |
|---|---|
| 補綴(歯)費用 | ¥880,000 |
| 麻酔費用 (静脈内鎮静法) |
¥143,000 |
| 合計 | ¥3,223,000 |


| 治療費用 | ¥2,640,000 |
|---|---|
| 補綴(歯)費用 | ¥1,100,000 |
| 麻酔費用 (静脈内鎮静法) |
¥143,000 |
| 合計 | ¥3,883,000 |
当院では、現金でのお支払いのほかに、分割払い、クレジットカードでお支払いいただけます。
| 当院受付でのお支払い、または当院指定の銀行口座へお振込みください。 ※銀行口座へのお振込み手数料は患者さまのご負担となります。 |
|
ローン |
デンタルローンをご用意しております。 詳しくはお問い合わせください。 |
カード |
クレジットカードでもお支払い可能です。※自由診療のみご使用いただけます。 各種クレジットカードを VISA、Master、JCB、UFJ、JACCS、NICOS、ダイナース、アメリカンエクスプレス、日専連 |
| オールオン4 | 入れ歯 | |
|---|---|---|
| メリット |
咬む力が圧倒的に強い インプラントによって支えられるため、咬む力が非常に強く、硬い食べ物もしっかり咬むことができます。 完全固定式なのでズレたり外れたりしない インプラントに固定されるため、義歯がズレたり外れたりする心配がありません。 えずかない 入れ歯とは違い、口腔内に異物感が少なく、えずくことがほとんどありません。 自分の歯のようで快適 見た目や感触が自分の歯に非常に近いため、自然な感覚で使用することができます。 骨がやせるのを防げる インプラントが骨に刺激を与えることで、骨がやせるのを防ぎ、健康な骨を維持できます。 手術当日に歯が入る 手術したその日に仮の歯を装着できるため、すぐに食事が可能で、審美面や機能面でのメリットも大きいです。 |
費用を抑えられる 保険を使うことで、治療費の負担が大幅に軽減されます。経済的な理由で治療を諦める必要がありません。 手術が不要 保険適用の治療方法では、手術を必要としない場合があります。手術に対する不安や負担を軽減できます。 病気があっても治療可能 持病や健康状態に関わらず、比較的安全に治療を受けることができます。医師との相談の上で、適切な治療法が選べます。 手軽に治療できる 治療のプロセスが簡便で、短期間で終了することが多いです。忙しい方や時間が取れない方にも適しています。 |
| デメリット |
手術が必要 インプラントを埋め込む箇所に天然の歯が 保険が効かないので、 治療技術が大変高度なため、 オールオン4は高度な技術を要する治療法です。そのため、対応できる歯科医院が限られています。信頼できる専門医を選びましょう。 |
オールオンフォー(All-on-4)に比べ えずきやすい 安定感が得られにくく、外れることもある 違和感を感じやすい 食事中に食べ物がはさまって痛むことがある 骨の吸収が起こりやすい 味覚を感じにくかったり、 発音しにくい 入れ歯に臭いが付き、口臭の原因となる 時間が経つと歯ぐきと合わなくなり |


オールオンフォー(All-on-4)治療法では、手術当日に固定式の仮歯を装着することができます。この方法では、頬骨に特殊な長めのインプラントを使用し、しっかりと固定するため、手術当日に見た目と機能の両方を回復することが可能です。


サージカルガイドは、CTで取得した3Dデータに基づいてテンプレートを作成し、シミュレーション通りの精密なインプラント治療を可能にします。骨が薄くなった方でも、正確な治療が可能となり、より痛みや腫れを最小限に抑えることができる先進技術です。


従来のインプラント治療では、多くの歯を失っている場合、複数本のインプラントを埋め込む必要がありました。そのため、全ての治療が完了するまでには時間がかかり、途中で入れ歯を使用することが不可欠でした。しかし、オールオン4(4本)インプラントでは、4本もしくはオールオン6(6本)のインプラントだけで手術が完了します。


オールオン4インプラント治療は、歯がボロボロの方や総入れ歯の方にも適しています。手術当日に噛むことができる歯を取り戻し、入れ歯の不便さから解放されます。仮歯の装着により自然な見た目と機能を即日に提供します。
オールオンフォー(All-on-4)やインプラント治療、骨造成、審美治療などを専門的な知識と高度な技術で提供しています。難症例にも対応可能であり、インプラント以外の総合的な治療も行っています。
患者様一人ひとりに十分な時間を割き、丁寧な治療と分かりやすい説明を心掛けています。プライベート空間でリラックスしながら治療を受けられる環境を整え、患者様の安心を最優先に考えています。
最新の治療機器や材料を厳選し、機能性と品質にこだわった治療を提供しています。徹底した滅菌処理と衛生管理により、安心して治療を受けていただけます。診療室の空気清浄にも配慮し、患者様の安全を確保しています。
麻酔や抗生剤、鎮痛剤などを用いた痛みをコントロールすることにより、痛みや腫れを最小限に抑えた治療を提供しています。麻酔が苦手な方向けには表面麻酔や笑気麻酔、静脈内鎮静法もご用意し、リラックスした治療を実現しています。
デジタルプランニングとナビゲーションシステムを活用したガイデッドサージェリーにより、正確で安全なインプラント手術を提供しています。患者様には問題点や治療の必要性を視覚的に理解しやすく説明し、安心して治療を受けられるよう配慮しています。
当院のインプラント治療は10年保証の認定を受けています。インプラント治療を受けていただいた患者さまに対し、インプラント体埋入手術後10年間、万が一再治療必要になった場合、保証規約に基づき当院が責任を持って再治療いたします。


医療法人社団桜風会
松本デンタルオフィス
院長 松本圭史
当院では、重度の歯科疾患に悩む患者様を一日でも早く救い、期待に応える治療結果を提供することを目標としています。多くの患者様が当院で笑顔を取り戻し、会話や食事を楽しみ、健康で幸せな毎日を送っています。
私たちは、患者様一人ひとりに合った最適な治療を提供し、特に重症でお困りの方や「総入れ歯にしたくない」と悩む方に対応しています。
経験豊富なスタッフと最先端の技術で、1本の歯から全ての歯を失った方まで、多くのインプラント治療を成功させてきました。
あなたの素敵な人生を一日でも早く迎えていただくために、ぜひお気軽にご相談ください。
私たちは、あなたの笑顔と健康を取り戻すお手伝いを致します。
| 2005年 | 日本大学歯学部卒業 日本大学歯学部歯科 補綴学第Ⅲ講座 入局 |
|---|---|
| 2006年 | 日本大学歯学部大学院 入学 |
| 2010年 | 同上 卒業 日本大学歯学部歯学部歯科 補綴学第Ⅲ講座 助教 |
| 2013年 | 同上 専修医 |
| 2015年 | 同上 退職 |
| 2016年 | 医療法人社団桜風会 松本デンタルオフィス 新規開院 |
歯が数本残っていますが、
オールオン4インプラントは
可能でしょうか?
当院では、インプラント治療を安心して受けていただけます。通常、歯が残っている方や義歯を使用している方は、手術当日までそのままご使用いただけます。手術当日に抜歯を行い、同日にインプラントを埋め込みます。その数時間後には新しい歯(仮の歯)を装着できるため、すぐに機能を回復させることが可能です。症状によっては、仮の歯の装着が翌日になる場合もありますが、迅速で快適な治療を提供いたします。
オールオン4インプラントは
どれくらい耐久性が
ありますか?
インプラントの10年経過時点での累積残存率は約90%とされています。しかし、個人のメンテナンス方法や生活スタイルによって、20年や30年以上持続する方もいれば、5年程度で使用できなくなることもあります。正しいメンテナンスを行うことで、インプラントを長期的に使用し続けることができます。定期的なチェックと適切なケアを心がけましょう。
オールオン4インプラント
手術は痛くないか心配です。
治療中は十分な麻酔を使用するため、ほとんど痛みを感じることはありません。さらに、口内の手術範囲は他の体の部位に比べて限定的であり、回復も早い傾向にあります。そのため、手術後も快適に過ごしていただけます。
できるだけ腫れないようして
もらうことはできますか?
CT画像を基にコンピューターで精密な治療計画を立てる手法により、手術が行われます。この方法では、歯肉に約3ミリメートルの小さな穴を4箇所開けるだけで済みます。また、手術から仮歯装着までの時間が大幅に短縮され、最短で1時間程度で完了します。この技術は術後の出血や腫れ、痛みが格段に少ないことも特長です。
オールオン4インプラントに
したいが高齢で体力が持つか
不安です。
年齢が高い方や体力に自信のない方でも、オールオン4の治療を受けることは可能です。ただし、顎の骨の状態によっては適用できない場合もありますので、まずはお気軽にご相談ください。適切な診断と治療計画を立てるために、詳細な検査を行います。


ドクターによるインプラントカウンセリングを行っております。まずはお気軽にご相談ください。
また、診療相談のご予約も承っております。診療相談では、パノラマX線撮影やお口の検査を行い、治療方針の大まかな説明をインプラントの精密診断を行います。 治療に関する疑問や不安をお持ちの方は、ぜひご利用ください。


各種検査を行い、CTやレントゲン撮影、口腔内外の写真撮影を実施します。
また、仮歯を作るための型取りも行います。これにより、正確な治療計画を立てることが可能です。


検査結果・デジタルデータをもとに、治療計画を立てます。


精密検査の結果を元に、治療方針や進め方、費用などを丁寧にご説明いたします。患者様が十分に納得いただけるように心掛けます。
治療や支払い方法に関する疑問点やご不明点があれば、どんな些細なことでもお気軽にご質問ください。


抜歯後、顎の骨にインプラントを埋め込みます。手術と同日に、仮歯を装着します。
仮歯は、患者様のお顔に自然に馴染むよう、事前に採取した歯型を元に作成されます。


仮歯の調整を行います。調整期間中に、顎骨や歯茎の状態に応じて仮歯の形を調整し、最終的な上部構造の形状を決定します。
数回の調整を経て、理想的な上部構造の形状に近づけていきます。


調整を繰り返した仮歯から得られたデータをもとに上部構造を製作します。
インプラント治療における、高い技工の知識と経験を持つ歯科技工士が、美しい見た目と高い機能性を備えた上部構造を製作いたします。


治療完了後は、定期的なメインテナンスにご来院いただきます。患者様が長く快適にインプラントで食事を楽しめるよう、しっかりとサポートいたします。
インプラントのメインテナンスは、天然歯と同じ方法で行い、インプラント周囲炎を予防します。
まずはカウンセリングに
お申し込みください